News
Novel adipo-mimetic model to study cancer cell migration in adipose tissues
17 October 2025
There is increasing evidence correlating the progression of cancers such as ovarian and breast cancers or leukaemia with the microstructure and composition of their surrounding adipose (fat) tissues. In a recent reports published in Nature Communications, researchers from the CPM have shown that cancer cells migrate particularly fast in fat tissues. This research, funded by the European Research Council and led by the team of Prof Julien Gautrot at Queen Mary University of London, in collaboration with Professor Fran Balkwill of Barts Cancer Institute and Dr Jordi Gonzalez-Molina and Prof Kaisa Lehti at Karolinska Institutet in Sweden, demonstrates the importance of the unique microstructure and mechanical properties of adipose tissues on the regulation of cancer cell migration.
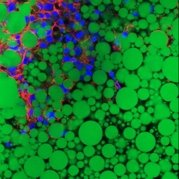
To study cancer cell migration in adipose tissues relevant to patients, the team of Prof Gautrot characterised the speed at which ovarian cancer cells migrate through ovarian cancer patient adipose (fat) tissue samples and in a new type of biomaterials mimicking adipose tissues. In these adipo-mimetic biomaterials, the CPM researchers were able to control a range of different physio-chemical and biochemical parameters that together regulate cancer cell migration. These materials mimicked the microstructure and mechanics of fat cells (adipocytes) using microdroplet tehchnologies. This allowed the control of the size and numbers of adipocyte-mimicking microdroplets, parameters that correlate with the progression of cancers such as ovarian cancer and leukaemia. It also allowed the control of the local mechanics of the adipo-mimetic materials.
This is the first time that a bioengineering approach has allowed scientists to recreate adipose tissues with such level of control over microstructural, mechanical and biochemical properties. How cancer cells would respond to these factors was not previously known.
Prof Julien Gautrot said "In many instances, cancer cells migrate and home in to adipose tissues, where they can form tumours. Surprisingly, very little is known of cell or cancer cell migration in adipose tissues and our work shows that this is regulated very differently to cell migration in other fibrous tissues. Understanding this phenomenon will be important, not only for the modelling of these processes in vitro, but also to identify novel strategies that may help us to fight the progression of cancers."
The correlations observed in the models developed, tissues obtained from patients and the established changes in tissue properties recovered from patients with different grades of ovarian cancers are particularly striking and suggest that adipose tissues may constitute a unique environment in which tumours can develop rapidly.
Link to this research article: https://www.nature.com/articles/s41467-025-62296-7
Email: j.gautrot@qmul.ac.uk
Link: https://www.sems.qmul.ac.uk/staff/j.gautrot
Updated by: Julien Gautrot


